Endocarditis infecciosa de válvula aórtica por pseudomonas aeruginosa: reporte de caso
Fabio Mauricio Sánchez Cano*, Cristian Iván García Rincón**, Luz Yaneth Becerra Salazar***
Archivos de Medicina (Manizales), Volumen 15 N° 1, Enero-Junio 2015, ISSN versión impresa 1657-320X, ISSN versión en línea 2339-3874. Sánchez Cano F.M.; García Rincón C.I.; Becerra Salazar L.
* MD, Internista Geriatra. Unidad de Cuidado Intermedio. Hospital Santa Sofía de Caldas. Manizales-Colombia. fsanchezcano8@gmail.com
** MD, Internista. Hospital Pablo Tobón Uribe. Medellín-Colombia. vesalio21@yahoo.com
*** MD, Epidemióloga. Unidad de Cuidado Intermedio. Hospital Santa Sofía de Caldas. Manizales-Colombia. luyabesa@yahoo.com
Recibido para publicación: 26-08-2014 - Versión corregida: 10-05-2015 - Aprobado para publicación: 11-05-2015
Resumen
La endocarditis infecciosa (EI) es generada por microorganismos de la superficie endocárdica, llevando posteriormente a la formación de vegetaciones. Es más comúnmente causada por organismos gram positivos, tales como Staphylococcus y Streptococcus; los gram negativos son culpables de alrededor del 10% de todos los casos de endocarditis. Menos del 2% de las endocarditis infecciosas son causadas por gérmenes gram negativos no HACEK (Hemophilus, Actinobacillus, Cardiobacterium, Eikenella, y Kingella), incluyendo Pseudomonas aeruginosa; esta última afecta principalmente a pacientes inmunocomprometidos, conduciendo a infecciones nosocomiales severas, con altas tasas de morbi-mortalidad, y se asocia con usuarios de drogas intravenosas, infecciones por catéter y enfermedad valvular protésica. Los orígenes comunes han sido los tractos respiratorio, urinario o infecciones del torrente sanguíneo. Nosotros describimos el caso de un paciente masculino, de 73 años de edad, inmunocompetente, quien presentó endocarditis infecciosa en la válvula aórtica protésica.
Palabras clave: endocarditis, Pseudomonas aeruginosa, válvula aórtica.
Sánchez-Cano FM, García-Rincón CI, Becerra-Salazar LY. Endocarditis infecciosa de válvula aórtica por pseudomonas aeruginosa: reporte de caso. Arch Med (Manizales) 2015; 15(1):151-7.
Summary
Infective endocarditis (IE) is caused by microorganisms of the endocardial surface of the heart, that posteriorly leads to vegetation formation. It is most commonly caused by gram-positive organisms, such as Staphylococcus and Streptococcus; gram-negative microorganisms cause about 10% of all cases of endocarditis. Less than 2% of IE is caused by Gram-negative non-HACEK (ie, Hemophilus, Actinobacillus, Cardiobacterium, Eikenella, and Kingella) microorganisms, including Pseudomonas aeruginosa; the latter affects mostly immunocompromised patients, leading to severe nosocomial infections, with high rates of morbidity and mortality. It is associated with intravenous drug abusers, catheter related infections and prosthetic valve disease. Common sources are the respiratory tract, urinary tract and blood stream infection. We describe the case of an immunocompetent 73 year male patient, who had infective endocarditis of an aortic prosthetic valve.
Key words: endocarditis, Pseudomonas aeruginosa, aortic valve.
Introducción
La endocarditis infecciosa (EI) es una infección generada por microorganismos capaces de penetrar en la superficie endocárdica, llevando posteriormente a la formación de vegetaciones. Es más comúnmente causada por organismos gram positivos, tales como Staphylococcus y Streptococcus 1.
La EI por gram negativos es una forma rara de infección valvular, con una frecuencia menor del 10% de todos los casos de endocarditis. Menos del 2% de las endocarditis infecciosas son causadas por gérmenes gram negativos no HACEK (Hemophilus, Actinobacillus, Cardiobacterium, Eikenella, and Kingella), incluyendo Pseudomonas aeruginosa 2.
Pseudomonas es un organismo gram negativo que afecta principalmente a pacientes inmunocomprometidos, conduciendo a infecciones nosocomiales severas, con altas tasas de morbi-mortalidad. Como una causa rara de endocarditis infecciosa, esta es principalmente asociada con usuarios de drogas intravenosas, infecciones por catéter y enfermedad valvular protésica. Los orígenes comunes han sido los tractos respiratorio, urinario o infecciones del torrente sanguíneo 3.
El objetivo de esta publicación es presentar el caso de endocarditis del lado izquierdo del corazón un paciente masculino, de 73 años de edad, quien presenta endocarditis infecciosa por Pseudomonas aeruginosa en la válvula aortica protésica.
Presentación del caso
Hombre, 73 años de edad, inmunocompetente, hipertenso en manejo farmacológico, con historia de cambio valvular aórtico biológico St Jude Epic número (tiempo de bomba 66 min y tiempo de pinza 60 min), quien presenta bacteriemia por Pseudomonas aeruginosa, multisensible, 9 días después de la realización del procedimiento quirúrgico, la cual es tratada médicamente con antibióticos de amplio espectro (meropenem por 10 días y gentamicina por 5 días), con hemocultivos de control negativos y ecocardiograma transtorácico que muestra válvula protésica normofuncionante sin lesiones. Se da egreso luego de 30 días de estancia hospitalaria.
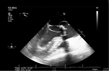
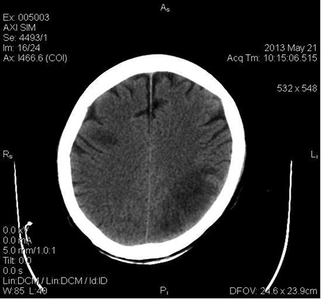
Un mes después del alta hospitalaria, es decir, dos meses luego de la cirugía valvular es valorado por cirugía cardiovascular en consulta externa, observándose en regulares condiciones generales, taquicárdico, polipneico. Se hospitaliza, se inician estudios, documentando nuevamente bacteriemia por P. aeruginosa resistente, razón por la cual se sospecha posibilidad de EI. Se realiza ecocardiograma transesofágico, hallando vegetación adherida a la prótesis biológica de la válvula aórtica, 9 mm (ver Figuras 1-2). Por alteraciones comportamentales concomitantes se ordena una tomografía computarizada (TC) cerebral, observando una zona de hipodensidad que compromete el lóbulo parietal izquierdo y en la topografía de la corteza pre-motora derecha, borramiento de surcos cerebrales, hallazgos compatibles con infartos subagudos probablemente de origen embólico (ver Figura 3) y, por descenso progresivo de hemoglobina sin foco claro, asociado a ascitis, se realiza TC contrastado de abdomen, documentando una zona de infarto segmentario a nivel del polo superior del bazo (ver Figura 4), interpretado como embolismo séptico.

Figura 1: Vegetación adherida a la prótesis biológica de la válvula aórtica.

Figura 2: Vegetación adherida a la prótesis biológica de la válvula aórtica.

Figura 3: Infartos subagudos probablemente de origen embólico.

Figura 4: Infarto segmentario a nivel del polo superior del bazo.
Ante presunción de multidrogo resistencia, y previa toma de cultivos, se inicia manejo con gentamicina y colistina, se lleva a esplenectomía y posteriormente se decide realizar cambio valvular, procedimiento en el cual observan una válvula biológica destruida, con múltiples vegetaciones, la cual se reemplaza por una válvula aórtica St Jude Epic número 21 intra-anular23 (tiempo de bomba 122 min y tiempo de pinza 101 min). El cultivo de la válvula aórtica fue reportado positivo para Pseudomonas aeruginosa multirresistente; se traslada a UCI, donde fallece 24 horas después por falla multiorgánica, choque severo y coagulopatía.
Discusión
Las primeras publicaciones sobre endocarditis infecciosa datan de 1885, cuando se describió como una entidad de difícil diagnóstico y con una letalidad cercana al 100%. Su presentación clínica es variada e inespecífica, siendo descritos como síntomas más frecuentes: disnea, astenia y escalofríos, diaforesis, hiporexia, pérdida de peso y cefalea, focalización neurológica, náuseas, cefalea, mialgias, dolor abdominal, artralgias, dolor torácico, y hemoptisis. Entre los signos, el más frecuente es la fiebre, seguida del soplo cardiaco, embolismo, esplenomegalia, aneurismas micóticos y lesiones en retina 4.
La EI tiene una incidencia de aproximadamente 6 casos por 100000 habitantes en la población general5. La mayor longevidad ha aumentado la frecuencia de la enfermedad valvular degenerativa, la tasa de implantes de válvulas protésicas y la exposición a bacteriemias nosocomiales, factores coadyuvantes para el aumento de la prevalencia de la misma.
De forma concomitante, la edad media de diagnóstico ha cambiado, siendo de 30 a 40 años durante la era preantibiótica y, después de este período, con edades comprendidas entre los 47 y 69 años. Este cambio es observado en la frecuencia de la enfermedad, pues mientras la prevalencia en la población general se estima entre 3-10 casos por 100000 personas año, en los mayores de 70-80 años, su prevalencia se documenta hasta en valores de 14,5 casos por 100000 personas año.
La presentación clínica de la EI varía dependiendo tanto del agente infeccioso como de la válvula cardiaca afectada. Cuando los pacientes consultan por síntomas cardiovasculares, esto usualmente entraña un peor pronóstico, pudiéndose observar falla cardiaca e, incluso, isquemia miocárdica secundaria a embolización de la vegetación cardiaca. Los eventos embólicos son responsables de aneurismas en el sistema nervioso central, enfermedad osteomuscular, artropatía, insuficiencia renal asociada con depósito de inmunocomplejos. Puede ocurrir también vasculitis 1. En nuestro paciente observamos embolias sépticas esplénica y cerebral.
El prolapso de la válvula mitral es el factor predisponente más común entre las lesiones cardiovasculares; no obstante, 50% de los pacientes diagnosticados con EI no tienen una enfermedad valvular subyacente. Streptococcus viridans es descrito como el agente etiológico más frecuente en pacientes con EI, sin embargo, los estudios epidemiológicos actuales han reportado un aumento en la frecuencia de presentación del Staphylococcus aureus, presente hasta en el 31% de los casos, demostrándose así que esta patología está principalmente asociada con infecciones por gérmenes gram positivos1,6.
La EI debida a gérmenes gram negativos es una enfermedad severa, frecuentemente nosocomial en su origen y causada, la mayoría de las veces, por bacterias farmacoresistentes, demostrando altas tasas de complicaciones y de mortalidad7.
Existen tres subgrupos de bacterias gram negativas que han sido asociadas con la EI: bacilos del grupo HACEK, bacilos entéricos fermentadores o no fermentadores y bacilos anaeróbicos7.
Los bacilos aeróbicos gram negativos son culpables de 1,3 a 4,8% de los casos. Esta baja prevalencia se deriva de los pocos reportes de caso emitidos en las últimas dos décadas y la ausencia de ensayos clínicos aleatorizados al respecto.
Dentro de los factores descritos como asociados a la baja prevalencia de EI debida a bacterias gram negativas, se postulan la ausencia de una cápsula externa, lo cual las hace más sensibles a la lisis mediada por el complemento y a otros mecanismos de defensa de la inmunidad humoral; además de la ausencia de proteínas de superficie que específicamente se unen a las moléculas de matriz del huésped y al material protésico. Adicionalmente, se ha documentado el requerimiento de un más alto inóculo de bacterias gram negativas que de gram positivas en la patogénesis de EI en modelos animales. Los datos más recientes de prevalencia del estudio International Collaboration on Endocarditis (ICE), revela que los micro-organismos gram negativos son responsables de menos del 4% de los casos de EI con cultivos positivos. Aunque la incidencia es baja, la mortalidad generalmente es alta7,8.
Una revisión reciente de 49 casos de EI por bacterias gram negativas no-HACEK, reveló una prevalencia de 1,8% de los casos de EI debido a estos organismos (40% en válvulas nativas y 60% en válvulas protésicas o dispositivos). En este mismo estudio, los pacientes con EI por estos gérmenes presentaron una duración de síntomas mayor a un mes, además de mayor probabilidad de haber sido expuestos a dispositivos intravasculares, orígenes urinario o gastrointestinal, o exposición a procedimientos invasivos no dentales previamente. De igual forma, se documentó mayor frecuencia de abscesos intracardiacos. Escherichia coli y Pseudomonas aeruginosa fueron los patógenos más comunes, siendo responsables de 30% y 20% de los casos, respectivamente; además, se observó mayor asociación con adquisición relacionada al cuidado de la salud que con el uso de drogas intravenosas9,10.
Pseudomonas aeruginosa, un bacilo aeróbico gram negativo, es una causa rara de endocarditis infecciosa 11, siendo responsable de aproximadamente el 3% de todos los casos. Sin embargo, las tasas de morbilidad y mortalidad son altas, a pesar del uso adecuado de los antibióticos disponibles. P. aeruginosa ha sido reportada como causa de enfermedad cardiaca del lado derecho, la cual característicamente se asocia con el uso de drogas intravenosas, un inicio subagudo, entrañando un mejor pronóstico. En un estudio prospectivo de 2761 pacientes de 61 hospitales en 28 países, 49 (1,8%) de los pacientes tuvieron EI debido a bacilos gram negativos y entre ellos, 11 tuvieron endocarditis infecciosa por P. aeruginosa.
Previamente reportada en brotes entre usuarios de drogas intravenosas, Pseudomonas es actualmente responsable de casos de EI esporádicas, adquiridas en el hospital, severas y de difícil tratamiento. Se pueden comprometer ambos lados del corazón, puede originarse a partir de válvulas nativas así como protésicas, y a partir de dispositivos vasculares. La EI puede ser complicada por una embolia séptica pulmonar, falla cardiaca congestiva, anormalidades de conducción, abscesos del anillo valvular, embolia valvular sistémica, abscesos esplénicos, choque séptico, complicaciones neurológicas (cerebritis, abscesos cerebrales, aneurismas micóticos, meningitis), entre otras12,13, como sucedió en nuestro paciente.
La bacteriemia por Pseudomonas es un problema nosocomial, siendo la tercera causa de bacteriemia entre los gérmenes gram negativos. P. aeruginosa es también una causa ocasional de EI nosocomial, siendo responsable de aproximadamente el 10% de los casos en una pequeña serie en una unidad de cuidado intensivo, con alta mortalidad, situándose alrededor del 80%, necesitando por ello, diagnóstico y tratamiento oportunos. Los resultados clínicos de la EI del lado derecho han alcanzado tasas de cura de hasta el 84%, mientras aquellos del lado izquierdo se sitúan en el 33%. Este resultado subóptimo es parcialmente explicado por la resistencia aumentada a betalactámicos y aminoglucósidos7,8.
La EI causada por este patógeno es muy seria, con alta tasa de mortalidad. Los pacientes con enfermedad valvular del lado izquierdo frecuentemente desarrollan síntomas rápidamente progresivos, los cuales son debidos a falla cardiaca congestiva, o a embolismo a vasos de mediano o gran calibre. Los abscesos anulares son complicaciones frecuentes.
Pese a una tasa de 50% de intervención quirúrgica, la mortalidad hospitalaria de la cohorte de la ICE fue de 24%, siendo similar a la de aquellos no intervenidos quirúrgicamente. De la misma manera, la mortalidad fue similar en aquellos sometidos a monoterapia o a combinación de antibióticos. Con base en esto, los investigadores del ICE recomiendan que estos casos sean manejados con cirugía temprana más una terapia antibiótica de largo término, al menos de 6 semanas, con combinaciones bactericidas de betalactámicos y aminoglucósidos, ocasionalmente con adición de quinolonas o trimetoprim sulfametoxazole 7,8. En este caso, ante la exposición previa a antibioticoterapia de amplio espectro, se asumió la posibilidad de multidrogo-resistencia, razón por la cual se inició cubrimiento con gentamicina y colistina, con orden de descalonamiento posterior según reporte de cultivos.
Para la EI del lado derecho causada por Pseudomonas, la terapia médica es exitosa en el 50-75% de los casos. La combinación de terapia antibiótica con una penicilina con actividad antipseudomonas más un aminoglucósido es el tratamiento de elección. No obstante, la combinación de un betalactámico con una fluoroquinolona también ha sido usada 7,8.
El tratamiento médico en EI del lado izquierdo, sin intervención quirúrgica, ha sido reportado previamente como exitoso 4. La duración total de la terapia recomendada es por un período no menor de 6 semanas. La intervención quirúrgica debería ser considerada cuando se evidencie persistencia de gérmenes después de 1 a 2 semanas de tratamiento antibiótico, o si se presentan fenómenos embólicos, descompensación de un síndrome de falla cardiaca o recaída de la endocarditis. (Ver tabla 1)
En conclusión, siendo la endocarditis infecciosa por gérmenes gram negativos una entidad rara, es necesario sospecharla en aquellos pacientes quienes con factores de riesgo como los aquí expuestos (estancia hospitalaria prolongada, infecciones nosocomiales con bacteriemias a repetición y con antecedentes de cambio de válvula cardiaca), desarrollen un síndrome febril sin foco claro; teniendo en cuenta la posibilidad de embolia séptica sistémica, la altas tasas de morbimortalidad, y el potencial requerimiento de intervención quirúrgica y reemplazo valvular de no observarse una respuesta favorable con la antibioticoterapia de amplio espectro.
Tabla 1: Indicación de cirugía
|
INDICACIONES QUIRURGICAS |
|
|
INDICACION DE CIRUGIA EN EI |
FRECUENCIA |
|
Insuficiencia Cardiaca Congestiva |
60% |
|
Riesgo de embolismo (tamaño de vegetación) |
50% |
|
Falla en terapéutica antimicrobiana |
40% |
|
Microorganismo causante |
|
|
Endocarditis valvular protésica |
|
|
Extensión de infección |
|
Fuente: libro Enfermedad Valvular Cardíaca. Sergio Franco, MD. 2010, Pág. 10014.
Agradecimientos:
Hospital Departamental Universitario Santa Sofía de Caldas y Dr. Carlos Ignacio Gómez Roldán
Conflicto de intereses: los autores manifiestan no tener conflicto de intereses en relación con el tema citado en este artículo.
Fuentes de financiación: Recursos propios.
Literatura citada
1. Todaro J, Bollmann PW, Nussbacher A, Camargo LF, Santos BF, Alvarenga D, et al. Multiple myeloma complicated with pseudomonas endocarditis. Einstein (Sao Paul) 2012; 10(4):498-501.
2. Aggarwal A, Ritter N, Reddy L, Lingutla D, Nasar F, El-Daher N, et al. Recurrent Pseudomonas aortic root abscess complicating mitral valve endocarditis. Heart Lung 2012; 41(2):181-3
3. George S, Varghese J, Chandrasekhar S, Perumalla R, Reddy MS, Jayanthi V, et al. Gram- negative bacteria causing infective endocarditis: Rare cardiac complication after liver transplatition. World J Hepatol 2013; 5(5):296-7.
4. Ordóñez, KM, et al. Endocarditis infecciosa izquierda por Pseudomonas aeruginosa tratada médicamente. Biomédica 2010;(2):164-9.
5. Nasim A, Baqi S, Akhtar SF. Pseudomona aeruginosa endocarditis in renal transplant recipients. Transpl Infect Dis 2012; 14(2):180-3.
6. Yilmaz M, Sunar H, Mert A. Community-acquired left-sided Pseudomonas aeruginosa endocarditis in a patient without intravenous drug use. Infection 2013; 41(1):243-5.
7. Durante-Mangoni E, Tripodi MF, Albisinni R, Utili R. Management of Gram-negative and fungal endocarditis. Int J Antimicrob Agents 2010; 36 (Suppl 2):S40-5.
8. Reyes MP, Reyes KC. Gram-negative endocarditis. Curr Infec Dis Rep 2008; 10(4):267-274.
9. Noureddine M, De la Torre J, Ivanova R, Martínez FJ, Lomas JM, Plata A, et al. Endocarditis sobre válvulas izquierdas por bacilos gran negativos: epidemiología y características clínicas. Enferm Infecc Microbiol Clín 2011; 29(4): 276-281.
10. Morpeth S, et al. Non-HACEK gram-negative bacillus endocarditis. Ann Intern Med 2007; 18(147):829.
11. Navarrete NN, Tapia GA, López GM, López MA., Jiménez AJ. Endocarditis por Pseudomonas aeruginosa: Presentación de un caso atípico y revisión de la literatura. An Med Interna 2007; 24(2):99-100.
12. Venkatesan A, Spalding C, Speedie A, Sinha G, Rumbaugh JA. Pseudononas aeruginosa infective endocarditis presenting as bacterial meningitis. J Infect 2005; 51(4):199-202.
13. Dawson NL, Brumble LM, Pritt BS, Yao JD, Echols JD, Alvarez S. Left-sided Pseudomonas aeruginosa endocarditis in patients without injection drug use. Medicine (Baltimore) 2011; 90(4):250-5.
14. Sergio F. Enfermedad Valvular Cardíaca. Bogotá D.C.: Editorial Colina; 2010.