Meningitis por
Erysipelothrix Rhusiopathiae:
Reporte de caso
Luis Miguel Delgado Arias. MD.*, Luz Yaneth Becerra Salazar**
Recibido para publicación: 22-05-2014 - Versión corregida: 26-10-2014 - Aprobado para publicación: 04-11-2014
Resumen
Presentamos el caso de una paciente con meningitis por un germen inusual, Erysipelothrix rhusiopathiae, es frecuentemente asociado a lesiones cutáneas, raramente de presentación sistémica, causante de infección en manipuladores de animales o de productos cárnicos, en los casos en los que existe compromiso meníngeo es usual la presencia de endocarditis o inmunocompromiso de base sin lesión valvular. Nosotros describimos el caso de una paciente femenina de 43 años de edad, quien presentó meningitis por Erysipelothrix rhusiopathiae sin endocarditis asociada y como único factor de riesgo el uso de drogas ilícitas intravenosas.
Palabras claves: Meningitis, Erysipelothrix rhusiopathiae, drogas ilícitas.
Delgado-Arias LM, Becerra-Salazar LY. Meningitis por Erysipelothrix Rhusiopathiae: Reporte de caso. Arch Med (Manizales) 2014; 14(2):304-9.
Erysipelothrix rhusiopathiae meningitis: case report
Summary
We report a patient with meningitis for an unusual germ, Erysipelothrix rhusiopathiae, germ often associated with skin lesions, rarely systemic presentation, causing infection in animal handlers or meat products, in cases where there is meningeal involvement is usually the presence of endocarditis or immunocompromised without valvular lesion. We describe the case of a female patient aged 43 who presented meningitis without associated Erysipelothrix rhusiopathiae endocarditis and use of intravenous illicit drugs as only risk factor.
Key words: Meningitis, Erysipelothrix rhusiopathiae, street drugs.
Introducción
La meningitis es una infección del sistema nervioso central, epidemiológicamente dividida de 2 formas, una forma bacteriana y una forma viral, que aunque revisten características clínicas similares, difieren en cuanto a incidencia, prevalencia, mortalidad y complicaciones, evitándose secuelas o incluso la muerte con un tratamiento oportuno. Las manifestaciones clínicas comúnmente asociadas a meningitis son cefalea, fiebre, náuseas, vómito, rigidez de la nuca, y alteraciones del estado de conciencia.
Conocida la gravedad de la enfermedad ante la sospecha clínica está indicado el manejo empírico ajustándose la terapia antibiótica según el aislamiento y sensibilidad del germen cuando es posible tipificarlo.
Entre los gérmenes más frecuentemente implicados en el desarrollo de meningitis bacteriana se encuentran: Haemophilus influenza, Streptococcus pneumoniae, Neisseria meningitidis, en pacientes inmunocomprometidos otros gérmenes como: Criptococcus neoformans y Listeria monocytogenes1.
Más raramente se presentan meningitis por otros gérmenes: Mycobacterium Tuberculosis en aumento tras la pandemia del SIDA, Borrelia burgdorferi, Sphingomonas paucimobilis, y Erysipelothrix rhusiopathiae siendo este último el motivo del presente artículo.
El género Erysipelothrix incluye 2 especies: E. rhusiopathiae la cual incluye los serotipos 1ª, 1b, 2, 4, 5, 6, 8, 9, 11, 12, 15, 16, 17, 19, 21 y N, E. tonsillarum2,3contiene los serotipos 3, 7, 10, 14, 20, 22 y 23 también se reconocen 2 grupos de Erysipelothrix no clasificados representando los serotipos 13 y 184.
E. rhusiopathiae (del griego erysipela: erisipela, thrix: cabello, rhusius: rojizo, y pathus: enfermedad) es un germen gram positivo fácilmente decolorado (por lo que se puede confundir con un gram negativo5), no esporulado, aerobio y anaerobio facultativo, de colonias circulares y muy pequeñas, no fermenta la sacarosa a diferencia del E. tonsillarum, inicialmente relacionado con el género Listeria pero posteriormente clasificado en un género diferente3, de amplia distribución en la naturaleza y reconocido principalmente como un patógeno veterinario2.
La morfología de la colonia, la tinción de gram, el resultado catalasa negativo puede sugerir Lactobacilus, Actinomyces, Enterococcus o Streptococcus, los cuales con más comunes aislar en laboratorio y que no siempre son completamente identificados, por tanto se debe interpretar cuidadosamente en el laboratorio dada su baja incidencia y las dificultades para su identificación2,3,6.
El mayor factor de virulencia del E. rhusiopatiae es el exopolisacárido de la cápsula que puede proteger la bacteria de las defensas del huésped, como de la opsonofagocitosis y la muerte intracelular por macrófagos7, teniendo además capacidad de fijación a fibronectina, colágeno tipo I y tipo IV.
La infección por Erysipelothrix rhusiopathiae conocida desde finales de 18803, es asociada a erisipela principalmente en cerdos (Serovariedades 1 y 27) y erisipeloide en trabajadores que manipulan animales infectados, sus secreciones, desechos o procesan productos cárnicos2,3,8, como los agricultores, los carniceros, veterinarios, pescadores, trabajadores de los mataderos, y amas de casa9 aunque con reservorios en otros animales salvajes y domésticos (ratones, ovejas, palomas, ganado vacuno, cobayos, aves, y peces), en los que puede ser un patógeno, un comensal o un saprofito3, siendo los cerdos el reservorio más importante, sin comunicarse infección entre humanos10. En cerdos infectados por E. rhusiopathiae se ha encontrado en tonsilas, bazo, endocardio y en exudado articular11.
La vía de infección en humanos es causada por diversidad de elementos que actúan como vehículos y que pueden causar lesiones en las cuales se pierde continuidad de la piel o contaminen heridas existentes, existiendo antecedente de lesión cutánea en un 36% de los casos5 aunque el microrganismo es capaz de penetrar la piel intacta6.
Pueden presentarse manifestaciones clínicas de tres formas posterior a la infección: una forma cutánea localizada denominada erisipeloide de Rosenbach -la más frecuente-2,5,12, una forma cutánea difusa, y otra forma más grave pero menos frecuente. La presentación sistémica representando menos del 1% de todos los casos5, las manifestaciones de la forma sistémica oscilan entre artritis séptica13, peritonitis, falla renal2, bacteriemia, meningitis asociada a endocarditis, o endocarditis crónica, poliartritis7, siendo la endocarditis la presentación más frecuente de la forma sistémica pudiendo esta variante coexistir con lesiones cutáneas, bacteriemia10 y con manifestaciones neurológicas entre un 16 a 23%8. Las formas intracraneales son raras, pero se han reportado casos de infartos cerebrales secundarios a endocarditis14 .
Entre las complicaciones de la endocarditis se mencionan absceso miocárdico, perforación valvular aórtica, absceso valvular, insuficiencia aórtica, meningitis, embolismo de arterias renales, esplénicas y mesentéricas15, glomerulonefritis e insuficiencia renal aguda.
Entre los factores predisponentes para desarrollar bacteriemia se encuentran el abuso de alcohol, la inmunosupresión en la que se han documentado neumonia16, las enfermedades crónicas debilitantes y la drogadicción endovenosa5, pero la condición médica de base más comúnmente encontrada en todas las formas de infección es el abuso de alcohol6, el cual es un factor de riesgo presente en más de un tercio de los paciente que presenta infección sistémica por E. rhusiopathiae15.
La evolución de las formas cutáneas puede ser autolimitadas, resolverse en un periodo de 6 semanas, presentar recidivas a las 2 semanas para los casos leves, recurrencia de hasta 4 años en las formas diseminadas, o evolucionar a la forma sistémica10.
Para prevenir la forma sistémica, todas las formas de infección deben ser tratadas, obteniéndose buenos resultados con penicilina, cefalosporinas y clindamicina (dada su alta sensibilidad a estos antibióticos13), aunque la duración del tratamiento y las dosis no están estandarizadas10, prefiriéndose en tratamiento con penicilina, otros medicamentos a los cuales tiene sensibilidad variable son cloranfenicol, tetraciclinas y eritromicina, mostrando resistencia a trimetropim sulfametoxazol, aminoglucosidos, polimixinas y vancomicina3,13.
Las cefalosporinas y las fluoroquinolonas18 representan la alternativa más apropiada para los pacientes alérgicos a la penicilina, considerando que la clindamicina y la eritromicina sólo tienen acción bacteriostática frente a E. rhusiopathiae. Algunos autores recomiendan la duración del tratamiento entre 4 a 6 semanas5,8.
Presentación de caso
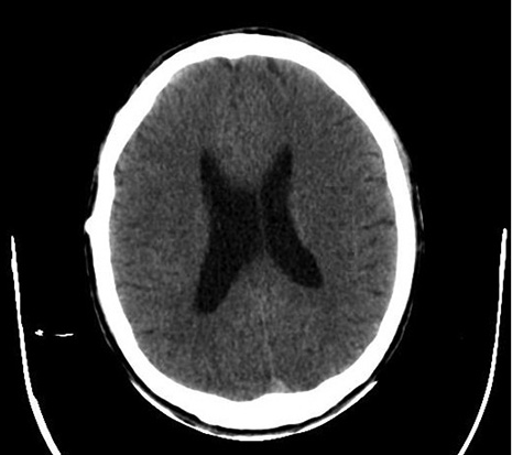
Mujer de 43 años, habitante de la calle, farmacodependiente, con antecedente de Diabetes mellitus tipo 2 en manejo con antidiabéticos orales, quien es encontrada en vía pública inconsciente, es trasladada a centro asistencial donde ingresa en malas condiciones generales, taquicárdica, hipertensa, desaturada, con abundante movilización de secreciones en vía aérea y con escala de glasgow 4/15. Se realiza tomografía computarizada (TC) que no muestra focos isquémicos o hemorrágicos agudos, ni otras alteraciones.
Con la presunción de proceso infeccioso a nivel pulmonar y previa toma de cultivos se inicia manejo con Vancomicina y Cefepime, se solicitan paraclínicos (tabla 1), entre estos punción lumbar en la que se obtiene líquido cefalorraquídeo (LCR) en cristal de roca, con análisis citoquímico y gram patológico (tabla 2), se sospecha meningitis bacteriana aguda y se adiciona al manejo antibiótico penicilina cristalina.
Tabla 1: Reporte de exámenes de laboratorio (química sanguínea, hemograma, pruebas hepáticas, función tiroidea, serología.
|
Paraclínicos |
Resultado |
|
Leucocitos |
28.300 x 109/ mm3 |
|
Neutrófilos |
96.1% |
|
Linfocitos |
2.4% |
|
Hemoglobina |
15.6 g/dL |
|
Hematocrito |
45.3% |
|
Plaquetas |
137.000/ mm3 |
|
Ácido láctico |
2.4 mg/dl |
|
Proteína C reactiva |
54 mg/dl |
|
Prueba de embarazo |
Negativa |
|
Creatinina |
0.64 mg/dL |
|
Nitrógeno ureico sérico |
16 mg/dL |
|
Bilirrubina total |
0.5 mg/dL |
|
Bilirrubina directa |
0.2 mg/dL |
|
AST |
122 u/L |
|
ALT |
53 u/L |
|
Sodio |
137 mEq/L |
|
Potasio |
4,0 mEq/L |
|
Cloro |
120 mEq/L |
|
Calcio ionico |
1.5 mg/dL |
|
TP |
13,3 segundos |
|
TPT |
32,3 segundos |
|
VDRL |
No reactivo |
|
Anticuerpos contra virus hepatitis C |
Negativo |
|
Antígeno de superficie hepatitis B |
Negativo |
|
VIH |
Negativo |
|
TSH |
0.457 |
|
T4L |
10.5 |
AST: Aspartato aminotransferasa, ALT: alanino aminotransferasa, TP: tiempo de tromboplastina, TPT: tiempo parcial de tromboplastina activada.
Fuente: historia clínica del paciente.
Tabla 2: Estudio citoquímico de LCR. Fuente: historia clínica del paciente
|
Parametro |
Resultado |
|
Recuento de células |
92mm3 |
|
Segmentados |
90% |
|
Linfocitos |
10% |
|
Glóbulos rojos |
0% |
|
Glucosa |
< 20 mg/dl |
|
Proteinas |
>300 mg/dl |
|
Coloración Gram |
Cocos gram positivos |
|
Tinta china |
Negativo |
|
Directo para hongos |
Negativo |
Figura 1. Tomografía cerebral. Fuente: historia clínica de la paciente
Es valorada por neurocirugía quien conceptúa que la TC muestra hidrocefalia por lo que se lleva a derivación externa. Figura 1.
Posteriormente paciente con adecuada evolución se desmonta de ventilación mecánica, sin déficit neurológico; en hemocultivos 2 y 3 y en cultivo de LCR se aísla Erysipelothrix rhusiopathiae, se suspende cefepime y vancomicina, se continúa penicilina cristalina hasta completar ciclo por 21 días a los que se da egreso hospitalario en buenas condiciones generales y sin déficit neurológico.
Discusión
El compromiso neurológico es una complicación grave de endocarditis causada por Erysipelothrix rhusiopathiae, aunque son extremadamente raros, debemos considerar el organismo como una de las posibles causas de infección intracerebral incluyendo meningitis19, motivo del presente reporte de caso.
El microorganismo fue detectado en el LCR de un italiano de 24 años de edad, quien presentó fiebre alta y alteración neurológica,20 después de este informe probablemente el primer caso, ha habido sólo unos pocos informes sobre la manifestación intracraneal de infección por E. rhusiopathiae20.
El diagnóstico de la infección invasiva se realiza después del aislamiento del organismo a partir de un sitio estéril, por lo general sangre. Los bacilos gram positivos se recuperan a partir de cultivos de sangre y la identificación se justifica cuando el E. rhusiopathiae se sospecha con base en el contexto epidemiológico, al tratarse en general de una enfermedad ocupacional, que en el 89% de los casos se relaciona con exposición previa21, Un alto índice de sospecha además de investigaciones microbiológicas rápidas y cuidadosas ayudaría en el diagnóstico etiológico de presentaciones de este microorganismo 14, en el caso particular de esta paciente se llegó al diagnóstico por medio de cultivos, como único factor de riesgo para bacteriemia el uso de drogas ilícitas intravenosas, sin desarrollo de endocarditis previa, no hay ningún otro vínculo epidemiológico por lo que consideramos como una presentación inusual.
En cuanto al tratamiento para meningitis o endocarditis presuntivas está indicado el inicio de vancomicina, siendo necesaria la identificación rápida de E. rhusiopathiae entre otros microroganismos gram-positivos15. Ante la sospecha de infección por E. rhusiopathiae o factores de riesgo epidemiológicos el tratamiento empírico con vancomicina debe ser reconsiderado, en el caso del paciente se identificó el germen en cultivos lo que permitió ajuste de la terapia antibiótica de forma específica con penicilina cristalina.
Conclusión
E. rhusiopathiae es un germen inusual que causa diferentes enfermedades sistémicas, como endocarditis, meningitis, lesiones en piel, no encontramos otros reportes en la literatura de infección del sistema nervioso central sin compromiso valvular, en muchas ocasiones puede no ser aislado en cultivos, pero debe ser tenido en cuenta como diagnóstico diferencial en paciente con factores de riesgo epidemiológicos.
Conflicto de intereses: los autores manifiestan no tener conflicto de intereses.
Fuentes de financiación: Recursos propios.
Literatura citada
1. Morales BA, Alonso PL. Epidemiología de la meningitis, Una visión socio- epidemiológica. Salud Uninorte 2006; 22(2):105-1
2. Dunbar S, Clarridge J. Potencial error in recognition of Erysipelothrix rhusiopathiae. J Clin Microbiol 2000; 38(3):1302.
3. Brooke C, Josephine RT. Erysipelothrix rhusiopathiae: bacteriology, epidemiology and clinical manifestations of an occupational pathogen. J Med Microbiol 1999; 48:789-99.
4. Ingebritson AL, Roth JA, Hauer PJ. Erysipelothrix rhusiopathiae: association of Spa-type with serotype and role in protective immunity. Vaccine 2010; 28(13):2490-6
5. Melero M, Campos A, Benetucci A, Famiglietti A, Vay C. Endocarditis infecciosa con absceso perivalvar en un paciente con bacteriemia por Erysipelothrix rhusiopathiae. Medicina 2002; 62(3):256-8.
6. Mera A, Blanco J, Gonzalez M, Cea C, Pardo F. Synovial fluid isolation of Erysipelothrix rhusiopathiae in knee septic arthritis. J Clin Rheumatol 1998; 4(4):216-9
7. Shimoji Y, Ogawa Y, Osaki M, Kabeya H, Maruyama S. Adhesive surface proteins of Erysipelothrix rhusiopathiae bind to polystyrene, fibronectin, and type I and IV collagens. J Bacteriol 2003; 185(9):2739.
8. Shashikala S, Kavitha R, Dilip P, Kumaraswamy UN, Parayarikkal M, Shamsul K. Cerebral artery mycotic aneurism associated with Erysipelothrix rhusiopathiae endocarditis. Infect Dis Clin Practice 2007; 15(6):400-402
9. Campbell D, Cowan M. Septicemia and Aortic Valve Endocarditis due to Erysipelothrix rhusiopathiae in a Homeless Man. Case Rep Infect Dis 2013; 2013:1-4.
10. Carrada BT. Erisipeloide de rosenbach ocupacional. Estudio clínico- bacteriológico de tres casos humanos. Dermatología Rev Mex 2005;49:78-83
11. Copes J, Nievas V, Vigo G, Sánchez M, Bagnis G. Aislamiento e identificación serológica de E. rhusiopathiae de cerdos con lesiones sistémicas compatibles con las del mal rojo en la República Argentina. Biomédica 2001; 12:244-248.
12. Boyd AS, Ritchie C, Fenton JS. Cutaneous Erysipelothrix rhusiopathiae (erysipeloid) infection in an immunocompromised child. Pediatr Dermatol 2014; 31(2):232-5
13. Mukhopadhyay C, Shah H, Vandana KE, Munim F, Vijayan S. A child with Erysipelothrix arthritis-beware of the little known. Asian Pac J Trop Biomed 2012; 2(6):503-4
14. Sang-Bae K, Dong-Eog K, Hyung-min K, Jae-Kyu R. A case of multiple brain infarctions associated with Erysipelothrix rhusiopathiae endocarditis. Arch Neurol 2003; 60:434-436.
15. Tomaszuk-Kazberuk A, Kamińska M, Sobkowicz B, Hirnle T, Prokop J, Lewczuk A, Sawicki R, Musiał W. Infective endocarditis caused by Erysipelothrix rhusiopathiae involving three native valves. Kardiol Pol 2011; 69(8):827-9
16. Meric M, Ozcan SK. Erysipelothrix rhusiopathiae pneumonia in an immunocompetent patient. J Med Microbiol 2012; 61:450-1.
17. Prier J.E, Alberts J.O. The efects of aureomycin and of penicillin against Erysipelothrix rhusiopathiae in vitro and in vivo. J Bacteriol 2000; 60(2):139
18. Drekonja DM. Erysipelothrix bacteremia without endocarditis: rare event or under-reported occurrence? Diagn Microbiol Infect Dis 2013; 77(3):280-1
19. Joo EJ, Kang CI, Sung K, Lee NY, Chung DR, Peck KR, et al. Acute meningitis as an initial manifestation of Erysipelothrix rhusiopathiae endocarditis. J Infect Chemother 2011 17(5):703–705.
20. Elvy J, Hanspal I, Simcock P. A case of Erysipelothrix rhusiopathiae causing bilateral endogenous endophthalmitis. J Clin Pathol 2008; 61(11):1223-4.
21. Kichloo AA, Hallac A, Mousavi B, Hirekhan . Nonspecific Erysipelothrix rhusiopathiae Bacteremia in a Patient with Subclinical Alcoholic Liver Disease. Case Rep Infect Dis. 2013; 2013:1-3.
Archivos de Medicina (Manizales), Volumen 14 N° 2, Julio-Diciembre 2014, ISSN versión impresa 1657-320X, ISSN versión en línea 2339-3874. Delgado Arias, L. M.; Becerra Salazar, L. Y.
* MD. Unidad de Cuidado Intermedio. Hospital Santa Sofía de Caldas. Docente Universidad de Manizales Manizales-Colombia. luismigueldel1@hotmail.com
** MD Epidemióloga. Unidad de Cuidado Intermedio. Hospital Santa Sofía de Caldas. Manizales-Colombia. luyabesa@yahoo.com
Meningitis por Erysipelothrix Rhusiopathiae: Reporte de caso pp 304-309