Reporte de Caso
Absceso de pared abdominal por tumor maligno de colon transverso
Sergio Morales Polanco 1, Juan de Dios Díaz Rosales 2, Jorge Arenas Valles 3
1 Gastroenterólogo adscrito al Servicio de Medicina Interna / Hospital General de Zona No. 35. Correo electrónico: sergiomp90@hotmail.com
2 Cirujano General adscrito al Servicio de Cirugía / Hospital General de Zona No. 35. Correo electrónico: jdedios.uacj@gmail.com. Avenida Valentín Fuentes S/N, Misiones del Portal, Ciudad Juárez, (México). CP 32809, Teléfono: +52(656)375-17-59. Autor para correspondencia.
3 Patólogo adscrito al Servicio de Anatomopatología / Hospital General de Zona No. 35. Correo electrónico: arenas75@hotmail.com
Archivos de Medicina (Manizales), Volumen 17 N° 1, Enero-Junio 2017, ISSN versión impresa 1657-320X, ISSN versión en línea 2339-3874. Morales Polanco S.; Díaz Rosales J.D.; Arenas Valles J.
Recibido para publicación: 16-04-2017 - Versión corregida: 08-05-2017 - Aprobado para publicación: 15-05-2017
Resumen
Introducción: el cáncer de colon es uno de los tumores digestivos más frecuentes y mortales. Sus complicaciones pueden ser variadas y en ocasiones tener presentaciones raras o poco frecuentes. Se presenta el caso de un paciente con un absceso de pared abdominal secundario a la perforación de un tumor en colon transverso. Caso clínico: Masculino de 56 años, en estado séptico y una masa en cuadrante superior izquierdo. Se sometió a laparotomía exploradora y se encontró un tumor de colon transverso que penetraba hacía la pared abdominal e invadía el yeyuno proximal y epiplón mayor. Se realizó la resección del tumor, colon transverso y epiplón mayor, dejando márgenes positivos en yeyuno. Discusión y conclusiones: aunque no existe consenso acerca de esta complicación, los casos reportados en la literatura orientan acerca del abordaje diagnóstico y terapéutico en caso de enfrentar esta complicación. Sin embargo, el escenario en un hospital de segundo nivel de atención se deben adecuar los recursos disponibles y la terapéutica a emplear, siempre pensando en ofrecer el mejor tratamiento posible para el paciente.
Palabras clave: neoplasias de colon, colon, pared abdominal, absceso abdominal.
Morales-Polanco S, Díaz-Rosales JD, Arenas-Valles J. Absceso de pared abdominal por tumor maligno de colon transverso. Arch Med (Manizales) 2017; 17(1):192-7.
Abdominal wall abscess by malignant colonic tumor
Summary
Introduction: colon cancer is one of the most frequent and mortal digestive tumors. Complications of this disease could be several and in a few cases, could be rare and infrequent. This article present a case of patient with an abdominal wall abscess due to a malignant transverse colonic tumor. Clinic presentation: male 56 years-old patient with sepsis and a mass in left superior quadrant on abdomen. The patient was underwent to exploratory laparotomy and findings were a large tumor in transverse colon with penetrance to abdominal wall, invasion to proximal jejunum, and greater omentum. Resection of tumor, transverse colon and greater omentum was done, leaving macroscopic margins on jejunum. Discussion and conclusions: it does not exist a consensus about this complication, but case reports in literature could orientate about diagnostic and therapeutic approaches. However, in second health level care hospitals, doctors must adapt resources to use the best therapeutic for these patients, always thinking in the best treatment for every patient.
Key words: colonic neoplasms, colon, abdominal wall, abdominal abscess.
Introducción
El cáncer de colon representa uno de los tumores digestivos más frecuentes en México [1] y se asocia a una alta mortalidad [2], entre sus complicaciones más comunes se encuentran: el sangrado, la oclusión, la perforación [3] etc. Sin embargo, el absceso como presentación del cáncer de colon es una complicación rara (0,3 a 0,4% de los casos), debido a la perforación del tumor en un estado localmente avanzado [4]. Aquellos pacientes con signos y síntomas atípicos, se vuelven un acertijo diagnóstico que conlleva a un retraso terapéutico y algunas veces inadecuado, aumentado la morbimortalidad que acompaña a estos casos. El presente caso representa una problemática que enfrentan los médicos en las unidades de segundo nivel de atención, donde el acceso a los servicios paraclínicos se ve limitado y la improvisación suele cubrir las ausencias físicas tecnológicas y médicas en los pasos que marcan los algoritmos diagnóstico-terapéuticos.
Presentación del caso
Masculino de 56 años que ingresó al servicio de urgencias con síndrome de respuesta inflamatoria sistémica (leucocitos 4 x 109/L, temperatura de 38oC, frecuencia respiratoria 24 por minuto, frecuencia cardiaca 105 por minuto), una tensión arterial de 100/65 mmHg y aumento de volumen en cuadrante superior izquierdo de 4 semanas de evolución. Tenía historial clínico de anemia ferropénica refractaria, dolor abdominal y diarreas intermitentes de 1 año de evolución, en seguimiento y estudio en medio privado. A la exploración física se encontró una masa a tensión, dependiente de la pared abdominal en cuadrante superior izquierdo, dolor con intensidad 8/10, eritema importante hasta la línea axilar posterior.
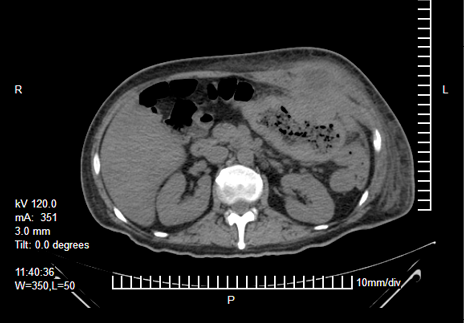
Laboratorios a su ingreso: hemoglobina 9,3 g/dL, hematocrito 29,6 %, plaquetas 574 x 109/L y albumina 1,6 g/dL, resto dentro de parámetros normales. Se realizó una tomografía abdominal que reportó un tumor dependiente del colon transverso con invasión a pared abdominal y formación de absceso (Figura 1, 2 y 3). Con el paciente en estado séptico, se decide el drenaje y la exploración quirúrgica previa estabilización.

Figura 1. Imagen que muestra el aumento de la densidad del cuadrante superior izquierdo, distensión y edema interesa en el resto de los cuadrantes. Fuente: archivo electrónico del HGZ No. 35 (IMSS).
Figura 2. Engrosamiento de la pared del colon transverso, con pérdida de la interfase hacia la pared abdominal y colección líquida a nivel de la unión del recto anterior del abdomen y los músculos oblicuos. Fuente: archivo electrónico del HGZ No. 35 (IMSS).
Figura 3. Corte sagital donde se observa la tumoración del colon transverso y su invasión a la pared abdominal. Fuente: archivo electrónico del HGZ No. 35 (IMSS).
Se realizó una laparotomía exploradora en las siguientes 12 horas, donde se encontró un absceso de pared que disecaba la fascia aponeurótica del recto abdominal y los transversos del abdomen. El origen del absceso dependía de una tumoración en colon transverso (10 x 11 cm) con penetración hacia pared abdominal e invasión a la pared de yeyuno proximal (sin oclusión del mismo) y epiplón mayor. Se realizó una resección del tumor y colon transverso (Figura 4), así como epiplón mayor. Debido a que el tumor invadía la pared del yeyuno y a que una eventual resección en bloque haría necesaria una entero-entero anastomosis de alto riesgo (albumina 1,6 g/dL) se decide dejar márgenes con tumor macroscópico (R2) a dicho nivel. Finalmente se realizó una colostomía de segmento ascendente del colon. Se cierra la pared abdominal solo en la porción de la piel y se espera a que mejoren condiciones para una cirugía de revisión. Sin embargo, el paciente presenta deterioro progresivo, con falla y colapso cardiopulmonar refractario a las 48 horas del postquirúrgico.
Figura 4. La pieza macroscópica corresponde a un segmento de intestino grueso el cual presenta solución de la continuidad de su pared donde se observa una gran perforación con bordes irregulares y engrosamiento de la misma al corte la mucosa sobre la lesión es de aspecto nodular exofítico que ocupa parte de la luz intestinal y afecta concéntricamente. Fuente: Laboratorio de Anatomopatología del HGZ No. 35.
El departamento de Anatomopatología reporto la pieza como un adenocarcinoma de tipo intestinal moderadamente diferenciado con extensión hasta los tejidos blandos pericolónicos e invasión vascular (Figura 5 y 6).
Figura 5. Los cortes histológicos teñidos con tinción de rutina H&E muestran una proliferación difusa de elementos glandulares atípicos con anaplasia celular marcada y presencia de necrosis sucia intraluminal. Fuente: Laboratorio de Anatomopatología del HGZ No. 35.
Figura 6. Izquierda: el corte histológico muestra la anaplasia celular marcada y mitosis atípicas presentes. Derecha: se identifica invasión vascular por las células neoplásicas. Fuente: Laboratorio de Anatomopatología del HGZ No. 35.
Discusión
Las presentaciones atípicas de los tumores de colon (abscesos, apendicitis reactiva, colitis isquémica, invaginación y fistulas a órganos intrabdominales) deben tenerse en cuenta a pesar de su escasa frecuencia [5,6]. Solo el 5% de los tumores malignos de colon se perforan, y menos del 0,4% de estos tumores se asociación a la formación de abscesos [7]. Al parecer existe una estirpe histológica que tiende esta complicación -el adenocarcinoma mucinoso- se sugiere que esto se debe a su lento crecimiento y diseminación por extensión directa [8]. La fisiopatología de la formación de absceso en cáncer de colon se debe a una perforación del tumor debido a necrosis (como en el presente caso), aunque puede presentarse por el aumento de presión intraluminal por un tumor obstructivo y una válvula ileocecal competente produciendo un fenómeno de asa cerrada a tensión [9,10]. La perforación va seguida de salida de material intestinal y puede conducir no solo a la peritonitis secundaria, sino también a otras presentaciones inusuales como a la formación de abscesos en distintas localizaciones: periapendicular [9], retroperitoneal [11], perinefrico, perirectal, y de pared abdominal anterior (como en el presente caso) e incluso en la región lumbar [12].
La utilidad de la colonoscopia y la biopsia por este medio, han sido las herramientas de tamizaje y diagnóstico temprano [13-15], sin embargo, esta herramienta tiene sus limitaciones al estar confinada a la luz intestinal, así como un riesgo de error en la toma de biopsia en caso de un tumor heterogéneo. En los casos de absceso de pared abdominal, independientemente de su origen, la tomografía juega un papel crucial en el diagnóstico [10,16].
El abordaje terapéutico en estos casos es complejo, y se deben tomar en cuenta las condiciones en la que se presenta el paciente. El drenaje guiado por tomografía computada (TC) es un acceso seguro y eficaz (en los centros donde esta herramienta esté disponible), sin embargo, en centros de 2do nivel de atención las herramientas diagnóstico-terapéuticas son limitadas y se tiene que hacer uso de la improvisación con conocimiento y evidencia científica para paliar las deficiencias y otorgar atención médica adecuada. El uso del drenaje guiado por imagen, tiene el propósito de convertir la colección en una fistula cutánea, así como contener el sitio séptico y evaluar el contexto general del paciente para ofrecer la mejor terapéutica [7]. Una vez controlado el sitio séptico y con el paciente en mejores condiciones, idealmente se procederá a la aplicación de radioterapia neoadyuvante, esta terapéutica disminuye de manera significativa la tasa de recurrencia local, la cual es del 20% si no se utiliza [7]. Posteriormente se podrá ofrecer una resección en bloque de los segmentos afectados, la cual tendrá un impacto en el pronóstico y calidad de vida del paciente. Finalmente, la quimioterapia adyuvante y/o paliativa puede ofrecerse según la condición de cada paciente [17].
En el presente caso, la decisión de realizar el procedimiento quirúrgico de manera primaria se debió al estado séptico del paciente, la disponibilidad limitada del servicio de endoscopia (para evaluar la masa en el colon transverso) y la ausencia de un diagnóstico histopatológico (si se hubiera realizado una colonoscopia previa). La realización de cirugía como primera opción terapéutica en algunos pacientes, aumenta la morbimortalidad [18], sin embargo estaría indicada y justificada en base al panorama clínico del paciente incluso si solo se realiza como un intento de contener el sitio séptico (como el presente caso) o como un intento paliativo (para mejorar la calidad de vida del paciente) [8].
La mayoría de los casos clínicos reportados en la literatura, emplean de manera secundaria la resección “en bloque” de todo el tejido afectado (incluyendo la pared abdominal) [19,20], sin embargo, en el presente caso dicha resección fue literalmente imposible debido a que el tumor primario invadía la pared del yeyuno proximal al ángulo de Treitz y una eventual resección y la consecuente entero-entero anastomosis del yeyuno afectado estaba destinada al fracaso (recordar que la albumina se encontraba en rangos críticos). Las opciones de reconstrucción de la pared abdominal al resecar un segmento de la misma son diversas, desde la separación de componentes hasta el uso malas biológicas y sistemas de succión (V.A.C. por sus siglas en inglés) [20].
El presente caso representa un reto diagnóstico y terapéutico que ilustra el día a día en las unidades de 2do nivel de atención, donde los médicos se adecuan a sus recursos para ofrecer el mejor de los tratamientos a cada paciente.
Conflictos de interés: ninguno declarado.
Fuentes de financiación: ninguno declarado.
Lectura citada